• Home
  • OrthoPlanner
  • Team
  • For Surgeons
  • Contact/Demo
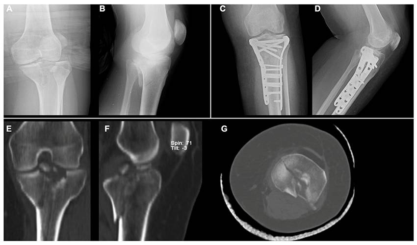
Failure of fixation of tibial plateau fractures

Failure of fixation of tibial plateau fractures

by MMyers | Aug 14, 2025 | Uncategorized

Fracture pattern and fixation type related to loss of reduction in bicondylar tibial plateau fractures

Fracture pattern and fixation type related to loss of reduction in bicondylar tibial plateau fractures

by MMyers | Aug 14, 2025 | Uncategorized

Predictors of reduction loss in tibial plateau fracture surgery: Focusing on posterior coronal fractures

Predictors of reduction loss in tibial plateau fracture surgery: Focusing on posterior coronal fractures

by MMyers | Aug 14, 2025 | Uncategorized

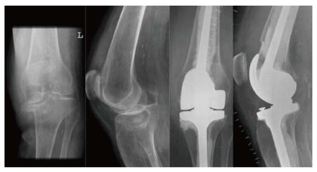
Radiographic Predictors of Conversion to Total Knee Arthroplasty After Tibial Plateau Fracture Surgery: Results in a Large Multicenter Cohort

Radiographic Predictors of Conversion to Total Knee Arthroplasty After Tibial Plateau Fracture Surgery: Results in a Large Multicenter Cohort

by MMyers | Aug 14, 2025 | Uncategorized

Next Entries »

Recent Posts

  • Enabling Technology in Fracture Surgery: State of the Art
  • Is It Safe to Prep the External Fixator In Situ During Staged ORIF of Bicondylar Tibial Plateau Fractures? A Retrospective Comparative Cohort Study
  • Fracture characteristics and functional outcomes for Schatzker V/VI bicondylar tibial plateau fractures with a separate tubercle fragment: a comparative study
  • The repair capacity spectrum of human skeletal muscle injury from sports to surgical trauma settings
  • Bicondylar tibial plateau fracture dislocations with an intact anterolateral cortical Rim: Prevalence, fracture characteristics, and complications

Recent Comments

No comments to show.
  • Follow

Imprint | Policies

© 2025 CustomSurg

Try CustomSurg Today!

Join the growing number of trauma surgeons around the globe who have chosen OrthoPlannerâ„¢ as their digital wingman for fracture surgery!